Biological Cavitation Surgery Case — Areas #16, #17 & #32 (Joe P.)
This multi-site cavitation surgery case follows Joe, a 53-year-old male, through diagnosis and biological treatment of cavitations in areas #16, #17 and #32. The case highlights both local jawbone healing and improvements in systemic health markers over time.
Patient Overview
Joe presented with a history of systemic concerns and prior dental work. Imaging and clinical examination identified cavitations in areas #16, #17 and #32. The treatment plan focused on biologically guided cavitation surgery, meticulous debridement, and support for bone and immune system recovery using Groton Wellness’ minimally invasive, whole-body approach.
Over the course of several months, each site was treated with careful removal of necrotic tissue, thorough disinfection, and open wound healing principles. Follow-up imaging and a detailed health update show ongoing improvement in both oral and systemic health markers.
Treatment Timeline
-
September 24, 2024Initial CBCT imaging and clinical evaluation revealing cavitations in areas #16, #17 and #32.
-
October 08, 2024Cavitation surgery and debridement at area #17 with biological protocols and open wound healing.
-
October 22, 2024Healing assessment at area #17 and treatment visit for area #32, with continued biologically guided care.
-
November 05, 2024Follow-up for area #32 to monitor soft tissue and bone healing progress.
-
December 04, 2024Cavitation surgery and debridement at area #16, removing necrotic tissue and cleaning the site thoroughly.
-
December 19, 2024Post-operative check of area #16 with documentation of soft tissue healing.
-
May 13, 2025Follow-up imaging and clinical evaluation of all three areas (#16, #17 and #32) confirming ongoing bone and tissue healing.
-
May 26, 2025Patient health update summarizing improvements in overall wellbeing, hormone balance and PSA levels.
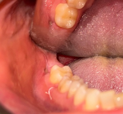
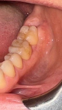
Visual Case Progression
Clinical images from multiple visits are shown at a consistent size for easy comparison across areas #16, #17 and #32.
Biological Approach Used
- Comprehensive assessment using CBCT imaging and clinical evaluation to identify cavitations and their potential impact on systemic health.
- Stepwise cavitation surgeries at areas #16, #17 and #32 with careful removal of necrotic bone and inflamed tissue, followed by thorough disinfection of each site.
- Open wound healing principles to support robust blood supply, improved oxygenation and long-term bone regeneration in the treated areas.
- Ongoing nutritional, detoxification and supplement support coordinated with the patient’s wider health goals to reinforce immune function and systemic healing.
- Close collaboration between biological dentistry and functional medicine to monitor lab work and systemic markers such as hormone balance and PSA trends over time.
Patient Outcome
Following cavitation surgery at all three sites, Joe reported no discomfort, inflammation or bleeding in his gums or mouth. Imaging and clinical follow-up visits showed healthy soft tissue and progressive bone healing across areas #16, #17 and #32.
In addition to local oral improvements, Joe’s broader health markers continued to move in a positive direction, including improved hormone metabolism and a steady reduction in PSA levels after an earlier peak. His experience highlights how addressing chronic dental infections and cavitations can support whole-body recovery and resilience.
Patient Health Update — May 26, 2025
Several months after his cavitation surgeries, Joe shared the following update with Dr. Nordin:
“Hi Dr. Nordin,
I feel good, I have no discomfort, inflammation or bleeding in my gums or mouth. My overall health and bloodwork continues to improve and I’m holding a desired weight. I continue my daily detoxing and supplement protocols. My WBC and RBC are still slightly lower. The way my body metabolizes estrogen and testosterone has significantly improved and hormones are moving into balance.
My PSA peaked at 5.9 in January but started to move down in March (5.1) and May (3.61), my lowest reading since my October 2023 diagnosis. Removing the infections will improve my detoxing results. Diet is helping. Still more to do but I’m glad my mouth is clean of metal and infections. Thank you for supporting my recovery to optimal health.” – Joe P.
Before & After — By Cavitation Site
Considering Cavitation Surgery or Biological Oral Surgery?
If you’ve been dealing with chronic health concerns or unresolved symptoms and suspect your mouth may be playing a role, our biological dental team can help you explore whether cavitations or chronic dental infections are contributing factors.
We combine advanced imaging, biological surgery protocols and whole-body support to create a plan tailored to your unique needs.

