Full Anterior Reconstruction with Implants After Extraction & GBR — Teeth #7–10 (Ivan E.)
This case follows Ivan, a 40-year-old male, from failing maxillary front teeth with subcrestal fractures and caries to full anterior reconstruction. Treatment included extraction of teeth #7–10, guided bone regeneration (GBR), and placement of four maxillary front implants with aesthetic final restorations using Groton Wellness’ biological, minimally invasive approach.
Patient Overview
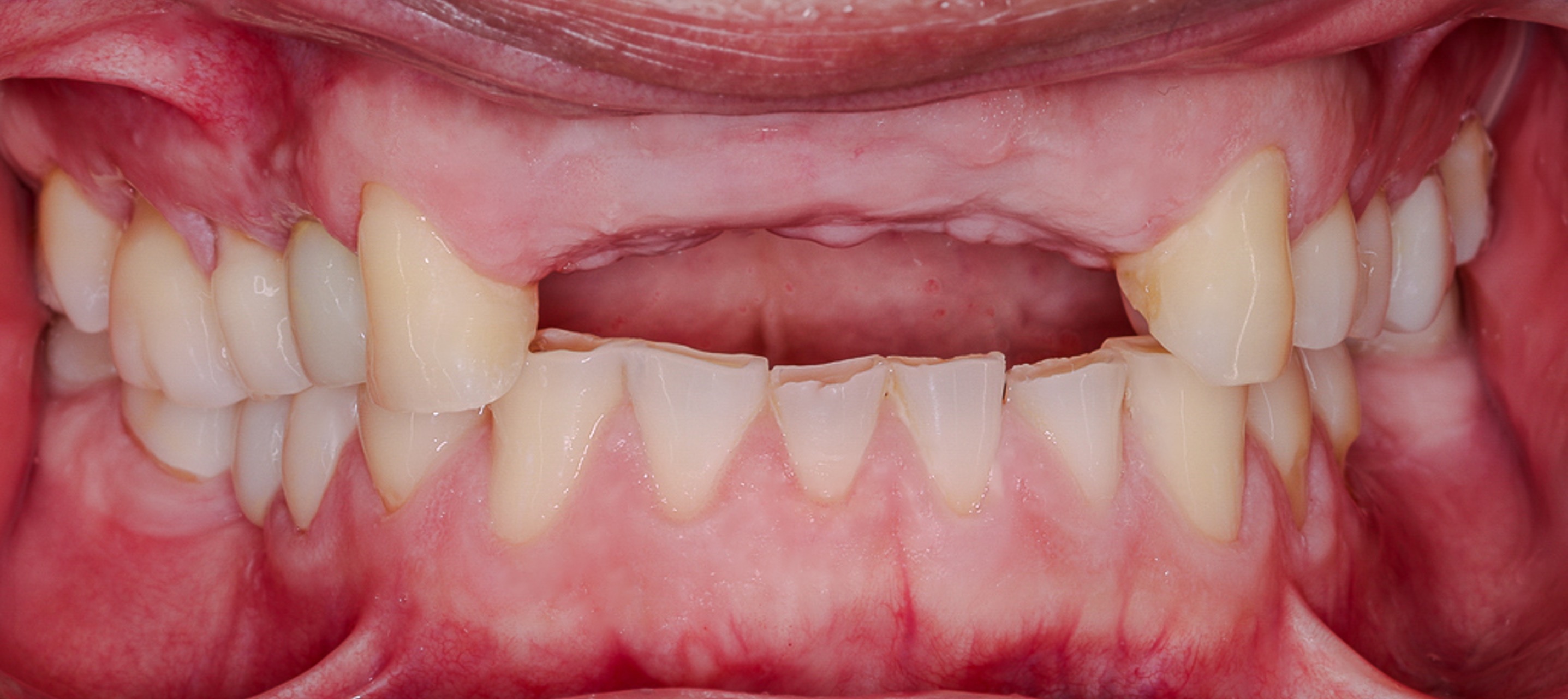
Ivan presented with unrestorable maxillary front teeth (#7–10) due to a combination of subcrestal fractures and caries. The compromised teeth were affecting both function and esthetics, with structural damage extending below the bone crest.
A staged biological treatment plan was developed: atraumatic extraction of teeth #7–10, guided bone regeneration (GBR) to rebuild the anterior ridge, and placement of four implants to support a stable, natural-looking restoration. Throughout, the focus remained on preserving soft tissue architecture, optimizing bone volume, and supporting Ivan’s overall health.
Treatment Timeline
-
September 25, 2021Initial evaluation and documentation of failing maxillary front teeth with subcrestal fractures and caries involving teeth #7–10.
-
November 18, 2023Updated imaging and comprehensive treatment planning for extraction, guided bone regeneration (GBR), and future implant-supported restoration.
-
December 07, 2023Atraumatic extraction of teeth #7–10 with thorough debridement of infected tissue and immediate GBR to rebuild the anterior ridge and preserve the smile line.
-
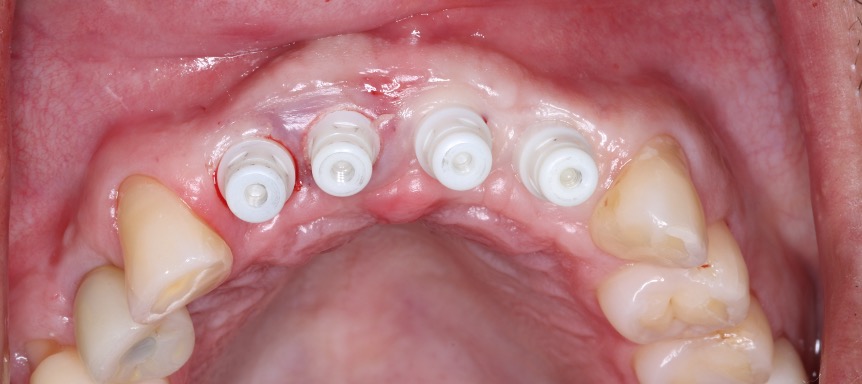
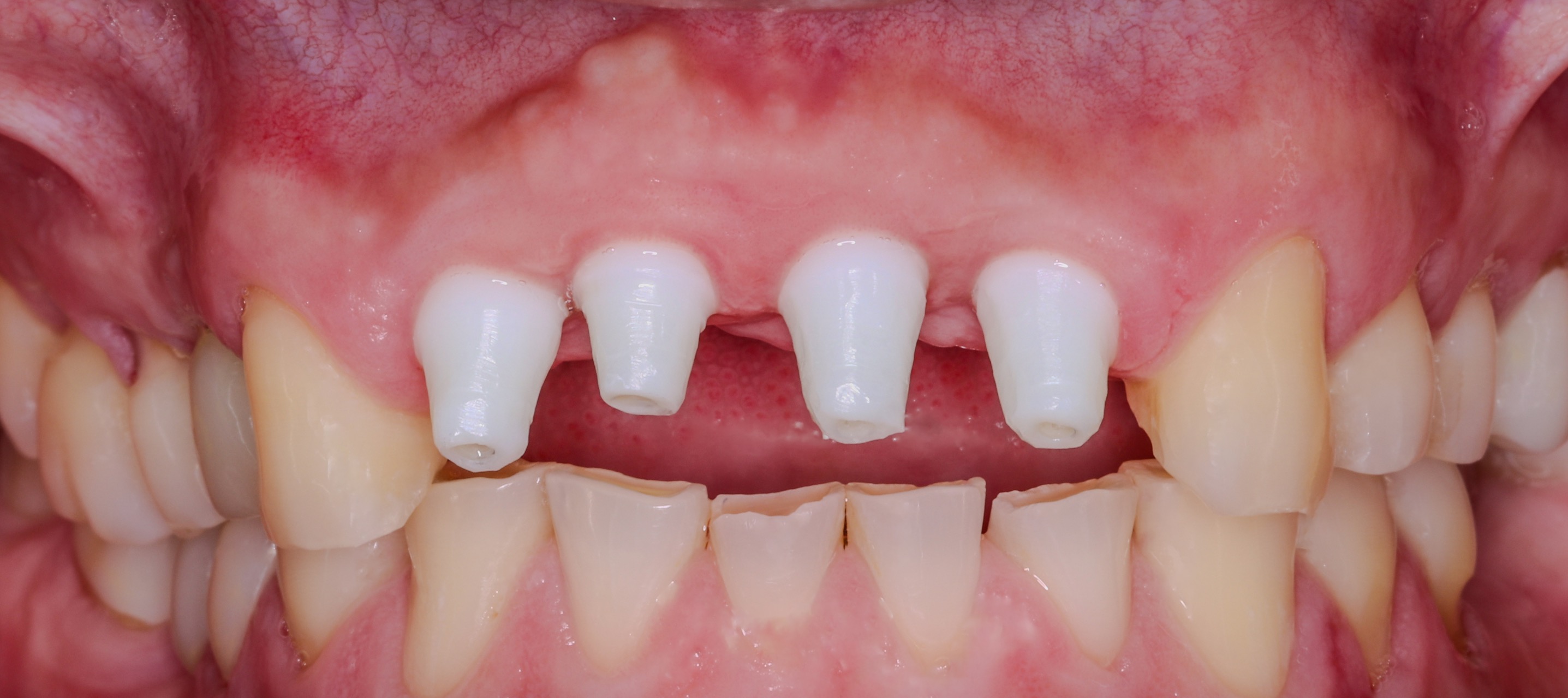
March 06, 2024Placement of four maxillary anterior implants (#7–10 region) into regenerated bone with careful three-dimensional positioning and provisionalization to support soft tissue shaping.
-
June 08, 2024Follow-up visit confirming implant stability, soft tissue healing, and refinement of the anterior emergence profile in preparation for final restorations.
-
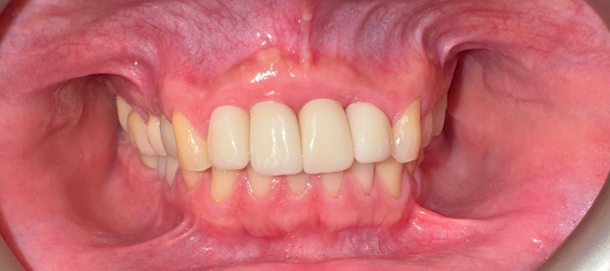
March 29, 2025Delivery of final anterior restorations on the four implants, restoring function, phonetics, and esthetics in the maxillary front region.
Visual Case Progression
All clinical images are displayed at a consistent size to make it easy to follow the transformation from failing maxillary front teeth to final implant-supported restorations.
Biological Approach Used
- Detailed diagnostic work-up, including imaging and structural assessment, to confirm that teeth #7–10 were unrestorable due to subcrestal fractures and caries.
- Atraumatic extractions with meticulous removal of infected and compromised tissue to protect the surrounding bone and soft tissues.
- Guided bone regeneration (GBR) in the maxillary anterior region to rebuild ridge volume and support ideal implant positioning and esthetics.
- Implant planning and placement based on three-dimensional positioning for long-term stability, proper load distribution, and natural emergence profiles.
- Use of provisional restorations to shape soft tissue contours and maintain esthetics while the implants and regenerated bone matured.
- Integration of biological dentistry principles, including careful material selection and a whole-body view of Ivan’s overall health and healing.
Patient Outcome
Ivan’s maxillary anterior region was restored from failing, unrestorable teeth to a stable, implant-supported reconstruction. The guided bone regeneration created sufficient bone volume for ideal implant placement, and soft tissue management allowed for a natural, harmonious smile line.
Function, phonetics, and esthetics were significantly improved, and the final restorations blend seamlessly with Ivan’s facial features. This case demonstrates how a biological, staged approach to extraction, GBR, and implant placement can successfully rebuild the anterior maxilla after significant structural compromise.
Before & After
Considering Anterior Implants or Full-Front Reconstruction?
If you have failing front teeth or have been told your teeth are unrestorable, there may still be a path to a strong, natural-looking smile. Our biological dental team can help you understand whether a staged approach with extraction, guided bone regeneration, and implants is right for you.
We focus on both esthetics and long-term health, creating treatment plans that respect your biology while restoring confidence in your smile.

