Biological Full Mouth Treatment Case Study (Roberta R.)
This case follows Roberta, a 65-year-old female, through a multi-stage biological dentistry process involving CBCT-based full visualization, extractions with bone grafting, Covered Socket Residuum (CSR) ~ Previously known as cavitation ~ protocols, periodontal therapy, and implant placement. The goal was long-term stability, function, and whole-body support—delivered with a clear, step-by-step plan.
Patient Overview
Roberta presented with multiple areas of concern identified during a comprehensive exam and CBCT full visualization. The treatment plan was structured into phases to address infection, stabilize bone and gums, and rebuild function with implant-supported solutions where indicated.
The case included staged extractions with bone grafting, Covered Socket Residuum (CSR) ~ Previously known as cavitation ~ protocols in key areas, periodontal scaling and root planing across all quadrants, and implant placement in areas planned for long-term support.
Treatment Timeline
-
April 29, 2025Comprehensive exam, CBCT full visualization, and baseline questionnaire.
-
May 22, 2025Extractions with bone grafting (#2, #3, #30, #31) + Covered Socket Residuum (CSR) ~ Previously known as cavitation ~ protocols (#1 and #32) with protection protocol (lower right & upper right).
-
June 06, 2025Suture removal for the May 22 surgical sites.
-
June 12, 2025Membrane removal for #2, #3, #30, and #31 surgical sites.
-
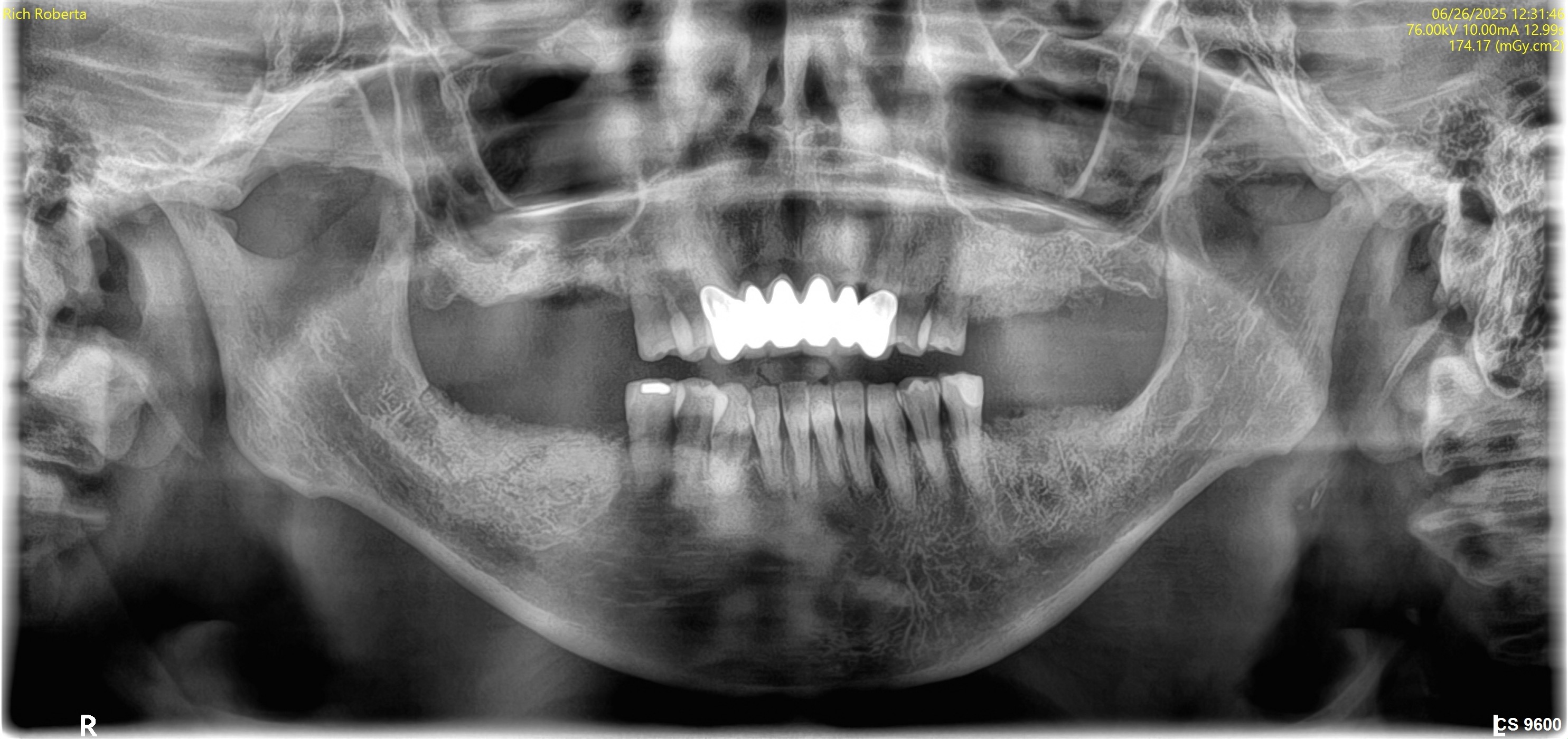
June 26, 2025Extractions with bone grafting (#14, #15, #18, #19).
-
July 09, 2025Suture removal for #14, #15, #18, and #19.
-
July 17, 2025Membrane removal for #14, #15, and #19.
-
August 19, 2025Vitamin D test result: 79 ng/mL.
-
September 18, 2025Periodontal scaling and root planing (lower left, lower right, upper left, upper right).
-
November 26, 2025Implant placement (#3 and #30).
-
December 02, 2025Implant placement (#14 and #19).
-
January 14, 2026Questionnaire Version 2 + review of remaining treatment.
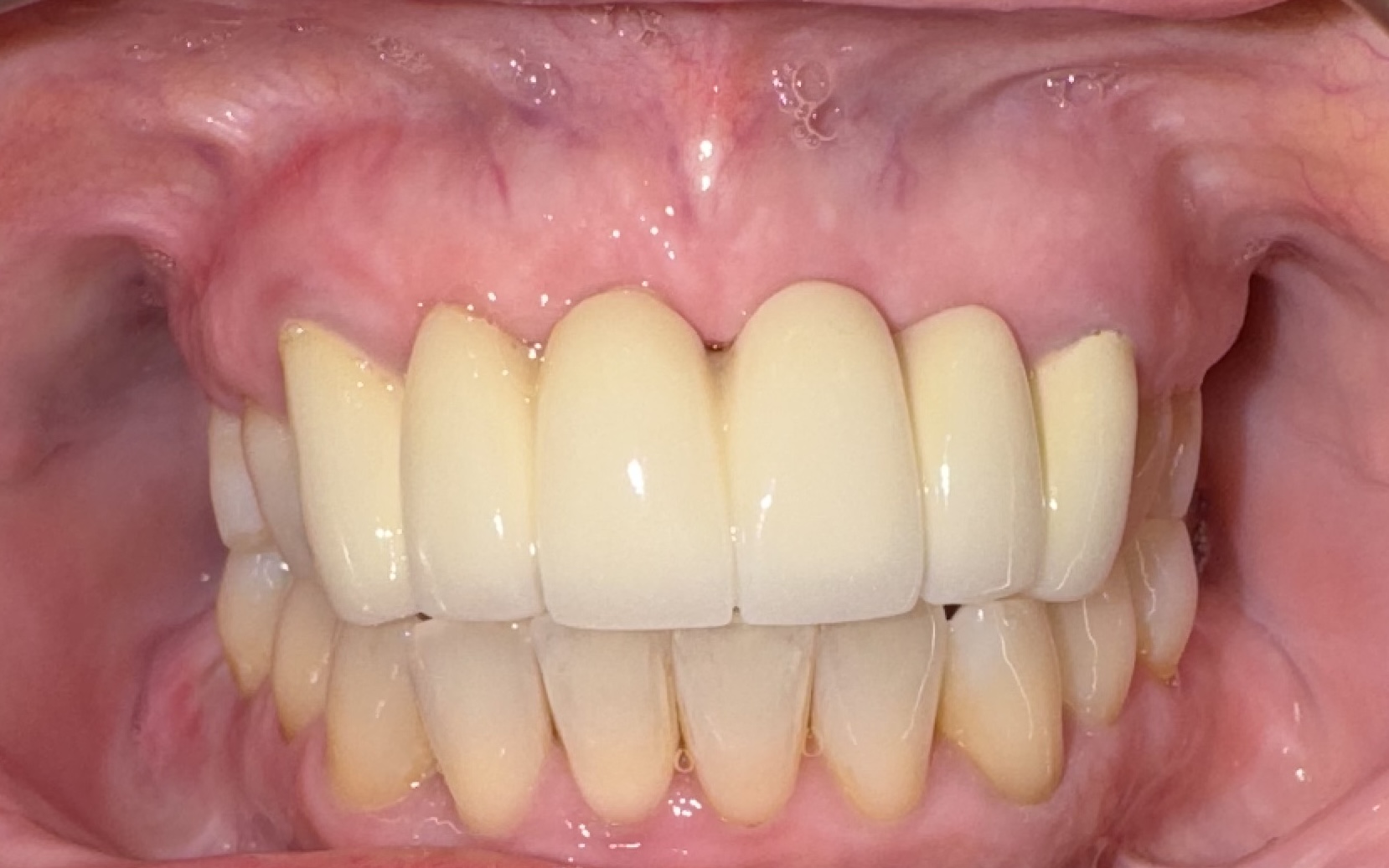
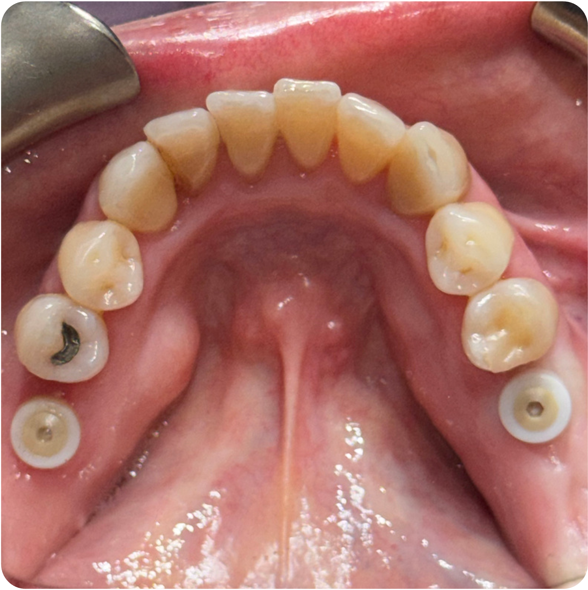
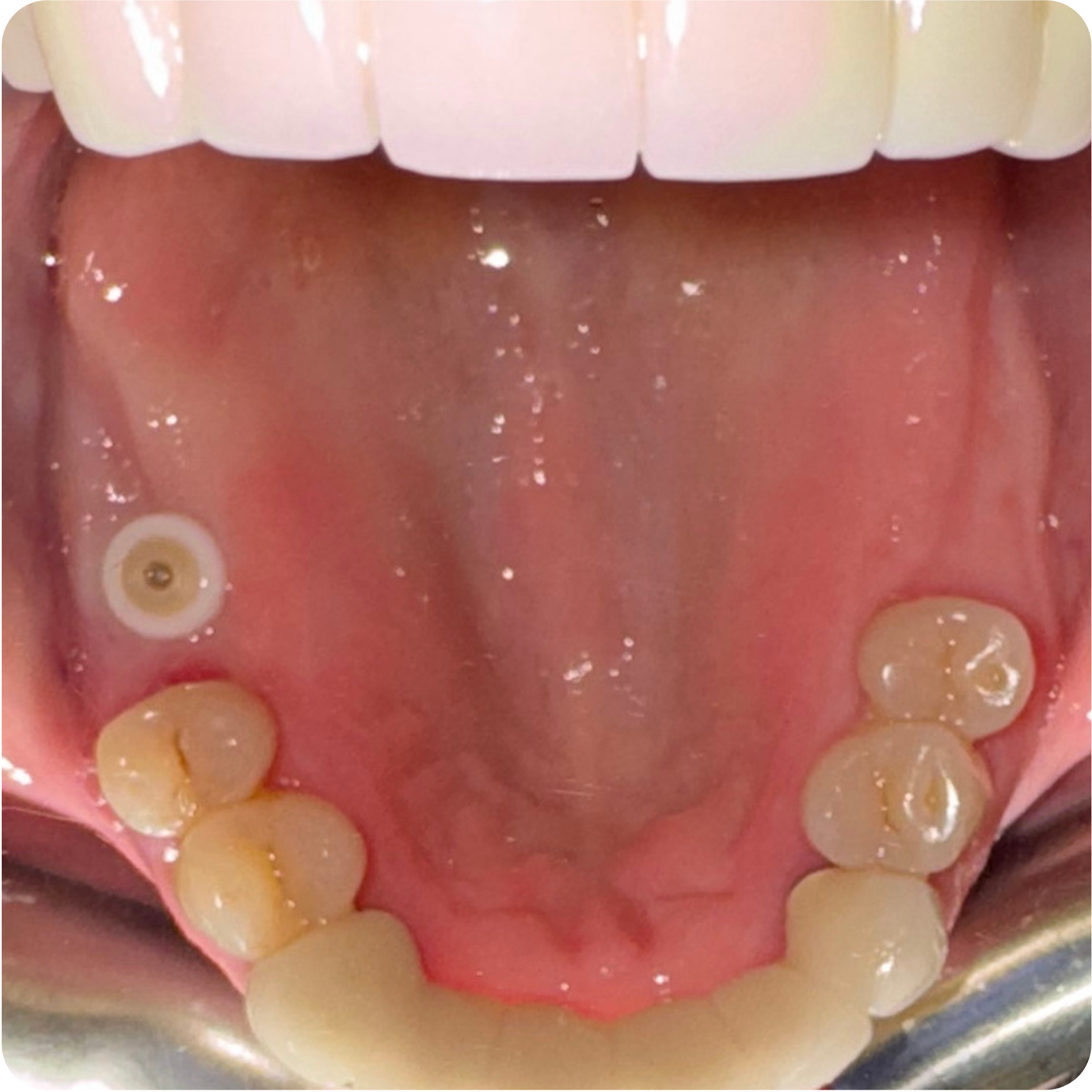
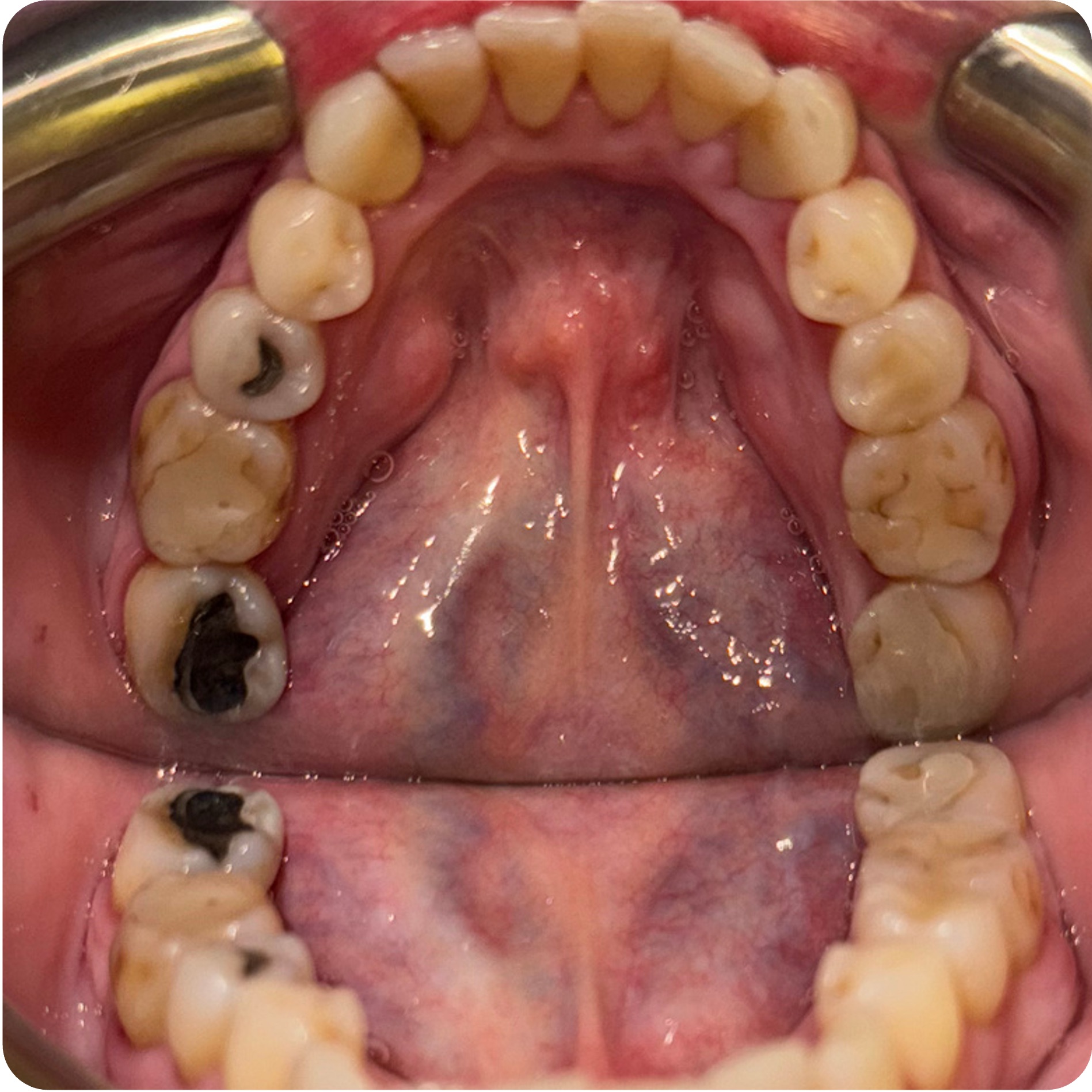
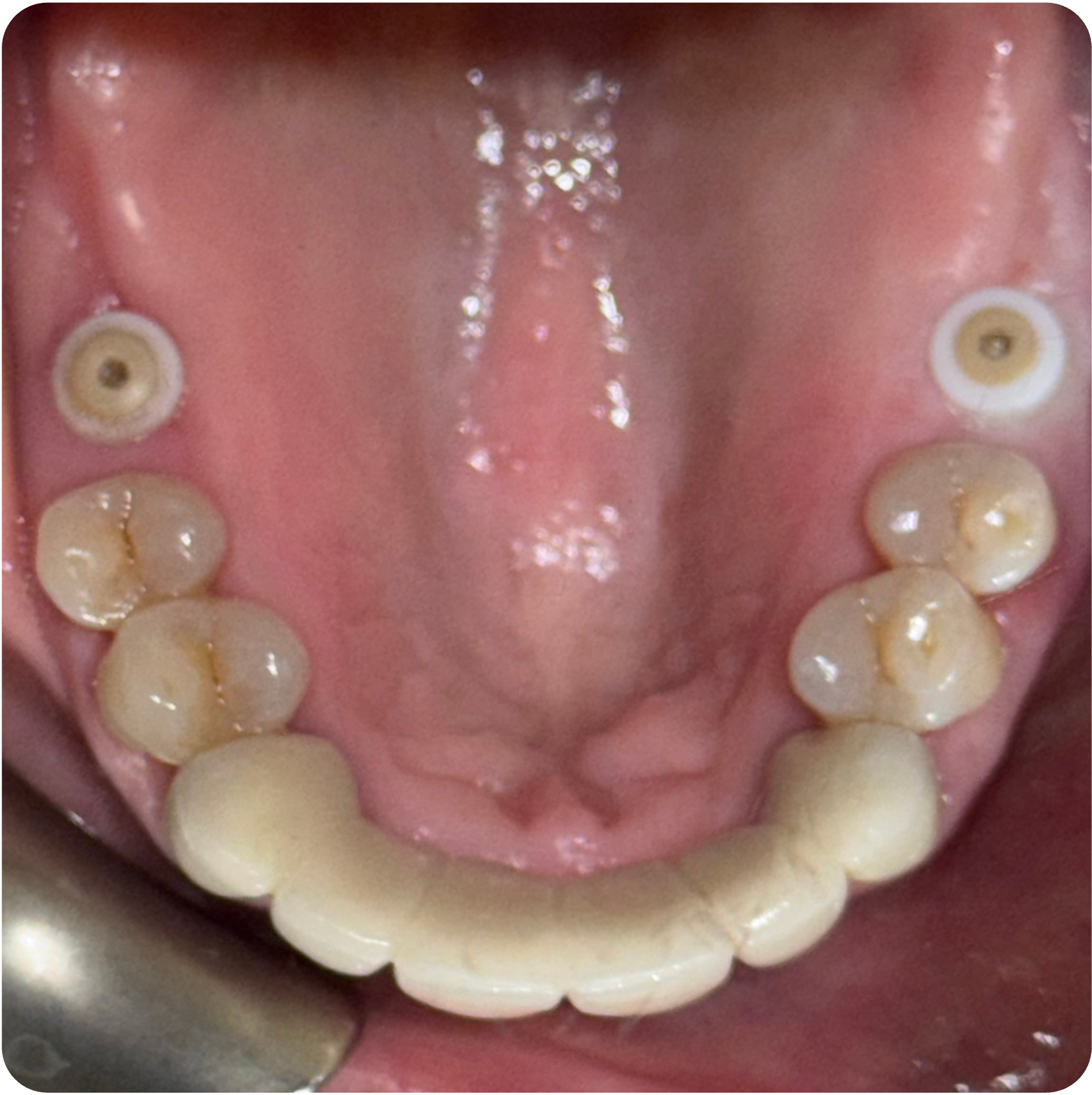
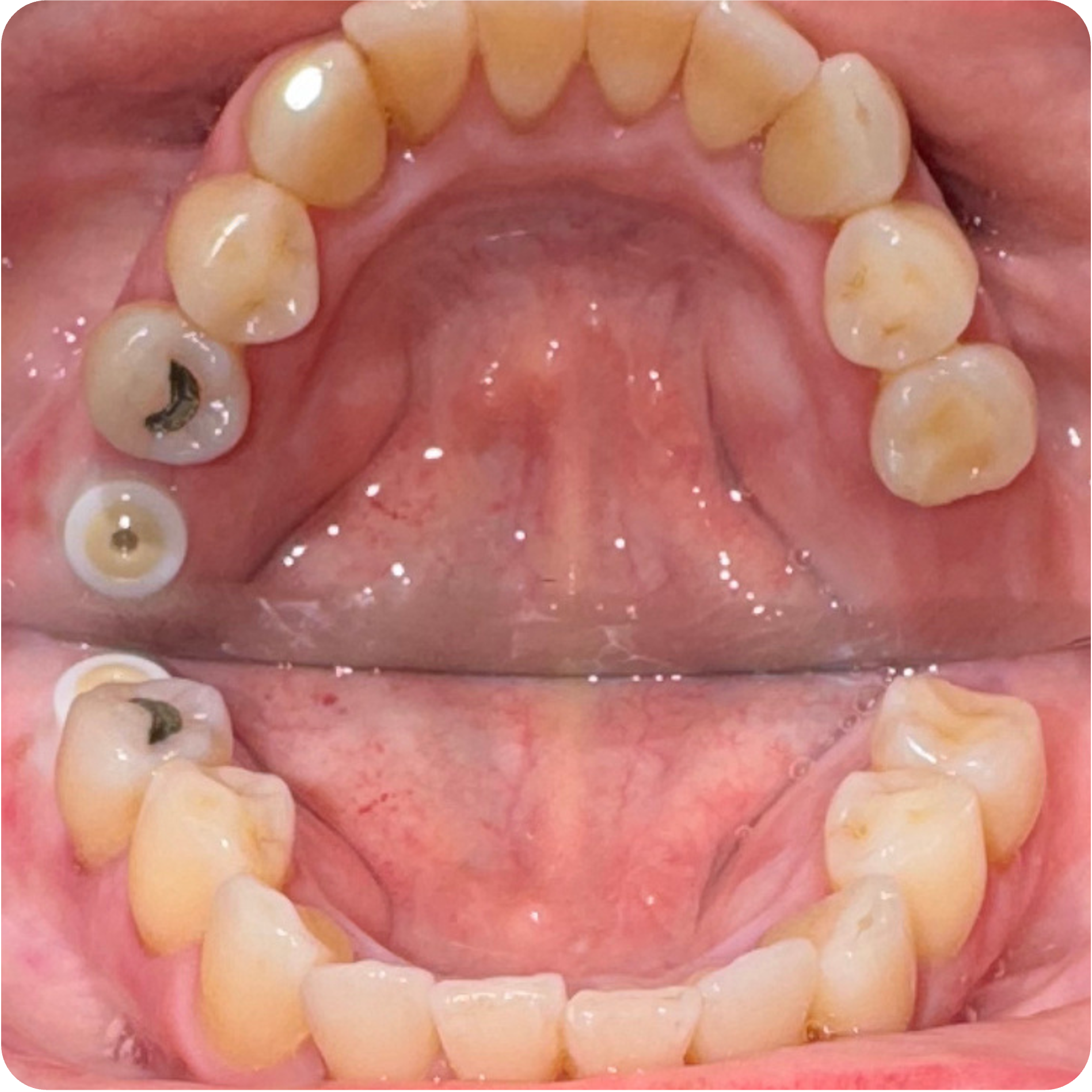
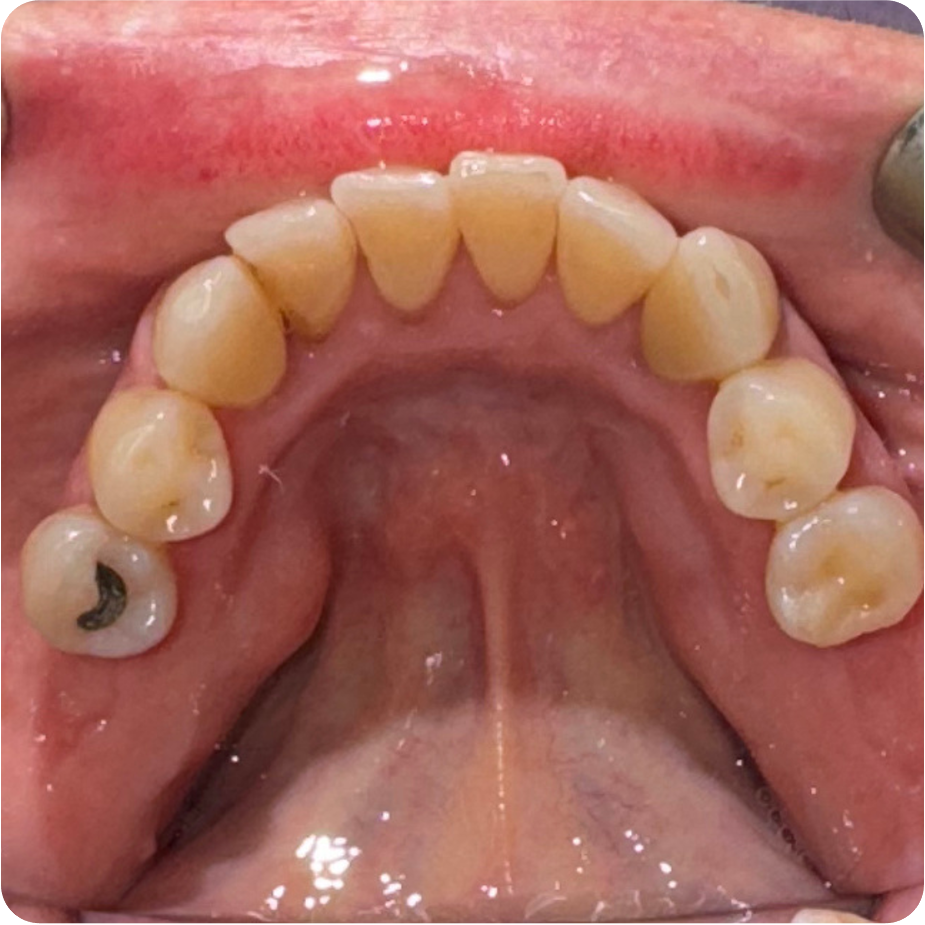
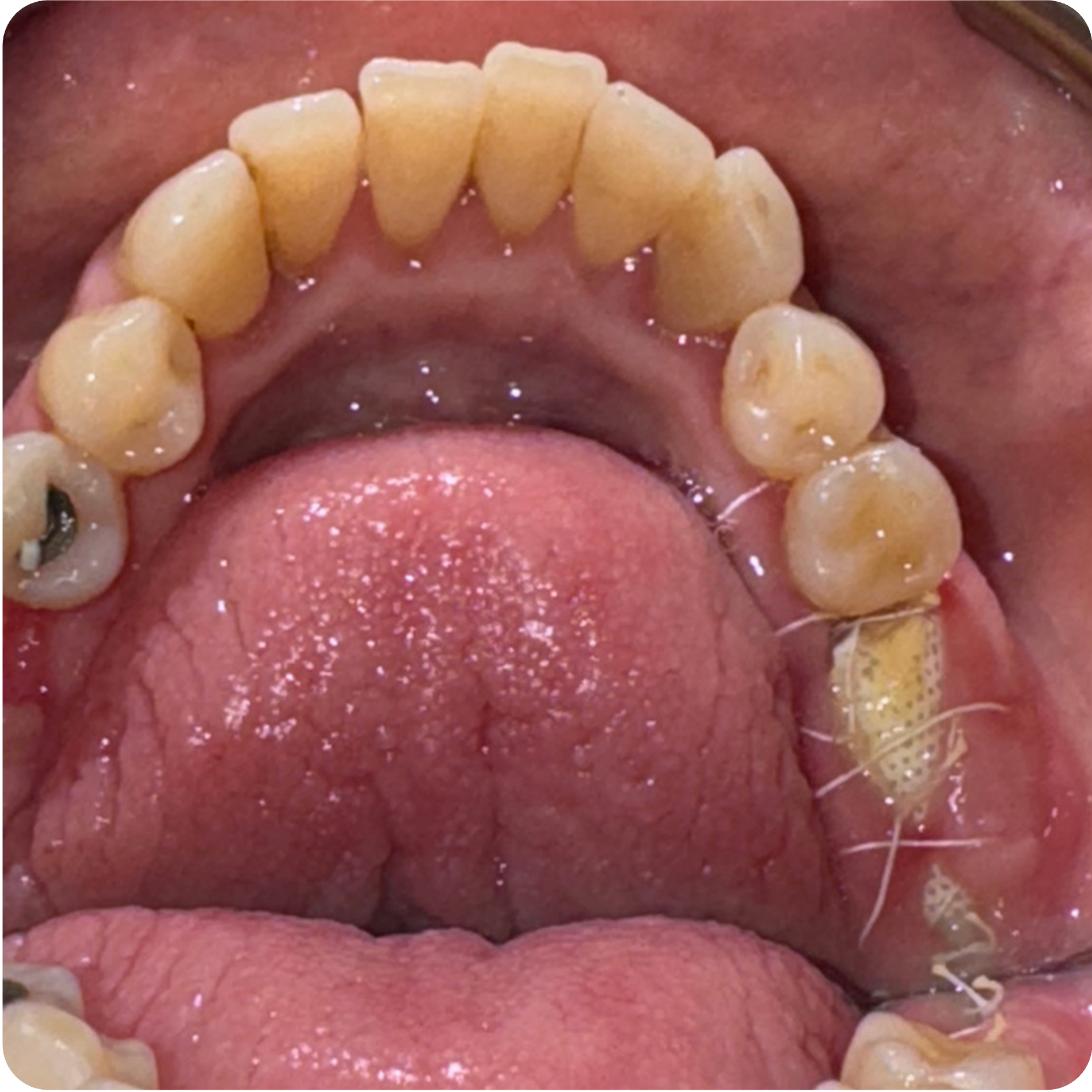
Visual Case Progression
All clinical images are shown at a consistent size for easy comparison.
Before & After (Groton Wellness Perio Protocol)
Why We Use Saliva Testing
Our Oral Systemic Periodontal Protocol was created to support the strong connection between oral health and whole-body wellness. Research shows that chronic gum inflammation and oral pathogens can contribute to systemic inflammation in the body. That’s why our approach focuses not only on protecting teeth and gums, but also on supporting overall health by improving the oral environment.
In Roberta’s case, her saliva test revealed bacteria patterns and conditions that made this protocol necessary. The results helped us identify what needed to be addressed, then build a plan designed to reduce harmful bacteria and support a healthier oral microbiome.
Retesting is key. By repeating the saliva test after following the protocol, we can measure progress, confirm what’s working, and adjust if needed. Roberta’s before-and-after results show meaningful improvements — and like Roberta, we’ve seen many patients experience significant changes through this protocol.
What the Protocol Includes
- Professional guidance to create a clear, step-by-step plan.
- Targeted oral care tools to reduce harmful bacteria and support gum healing.
- Nutritional supplements to support the immune system and healthy inflammation response.
- Lifestyle practices that strengthen long-term oral and systemic wellness.
Saliva testing gives us an objective way to track change — not just how things look, but what’s actually happening at the microbiome level.
Biological Approach Used
- Comprehensive CBCT-Based Diagnosis: Full 3D visualization allowed identification of infection, bone deficiencies, Covered Socket Residuum (CSR) ~ Previously known as cavitation ~ areas, and periodontal involvement across multiple quadrants.
- Guided Open Wound Healing Protocol (GOWH): Extractions and Covered Socket Residuum (CSR) ~ Previously known as cavitation ~ sites were treated following the Guided Open Wound Healing Protocol developed by Professor Shahram Ghanaati, MD, DDS, PhD. This protocol focuses on thorough debridement, biological tissue management, and optimized healing conditions to support predictable bone regeneration and reduce inflammatory burden.
- Staged Extractions with Guided Bone Regeneration: Compromised teeth were removed atraumatically and grafted to preserve bone volume and create stable foundations for future implants.
- Oral Systemic Periodontal Protocol with Saliva Testing: Saliva testing was used to objectively measure bacterial load and oral microbiome imbalance. This allowed implementation of a targeted periodontal protocol designed to reduce harmful pathogens, support immune function, and improve the oral environment in a measurable way.
- Re-testing & Progress Tracking: Follow-up saliva testing confirmed improvements, demonstrating measurable changes at the microbiome level and supporting the effectiveness of the biological protocol.
- Implant Placement in Stabilized Sites: Once infection was controlled and bone matured, implants were placed in #3, #30, #14, and #19 to restore function and long-term structural integrity.
Systemic Support — Vitamin D Optimization
As part of Groton Wellness’ biological approach, systemic markers were tracked during treatment. On August 19, 2025, Roberta’s Vitamin D level measured 79 ng/mL.
Vitamin D status is commonly monitored in biologically oriented care because it can support immune function and healthy healing responses during surgical and periodontal treatment.
Patient Outcome
Roberta completed a structured, step-by-step plan addressing multiple areas of concern with surgical, periodontal, and implant phases. Treatment emphasized education, transparency, and biologically supportive healing protocols throughout a multi-visit journey.
Patient Review
Google Review — January 16, 2026
“The Groton Wellness - Dental practice is phenomenal. I've committed to 2 years worth of long put off serious dental work and I'm more than a year into it, and am absolutely thrilled with my results! This is not a standard dental practice, they spend a tremendous amount of time with their patients explaining step by step every suggested procedure, and the outcomes. Their scheduling is flexible. It is a biological/holistic practice unlike regular dentistry they focus on whole body results. I am actually so much healthier than when I started with them all around with tests that confirm it. The wellness end of the practice is phenomenal too. I've done the red light therapy, and facial, and the food at the cafe is phenomenal. I highly recommend Groton Wellness - Dental I highly recommend” — Roberta
Before & After (Pano Images)
Interested in a Similar Approach?
If you’re facing complex dental concerns and want a step-by-step plan that considers your whole-body health, our biological dentistry team can help you understand your options and sequence treatment in a supportive, clear way.

